What Does Cancer Look Like On Mammogram : Mammography 3d Mammography Tomosynthesis Densebreast Info Inc / The rate of breast cancers discovered as dcis is thought to be increasing, but this is partially a testament to the effectiveness of mammographic breast cancer screening programs.ductal carcinoma in situ represents up to 30% of all new cases of breast cancer discovered by breast cancer screening.
Dapatkan link
Facebook
X
Pinterest
Email
Aplikasi Lainnya
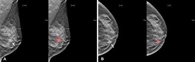
What Does Cancer Look Like On Mammogram : Mammography 3d Mammography Tomosynthesis Densebreast Info Inc / The rate of breast cancers discovered as dcis is thought to be increasing, but this is partially a testament to the effectiveness of mammographic breast cancer screening programs.ductal carcinoma in situ represents up to 30% of all new cases of breast cancer discovered by breast cancer screening.. Regular mammograms are the best tests doctors have to find breast cancer early, sometimes up to three years before it can be felt. In this mammogram image, the breast calcifications are in ductal patterns. Any area that does not look like normal tissue is a possible cause for concern. Calcifications are tiny flecks of calcium — like grains of salt — in the soft tissue of the breast that can sometimes indicate the presence of an early breast cancer. Any area that does not look like normal tissue is a possible cause for concern.
Abnormalities such as cancerous tumors usually appear brighter because they are denser. In this mammogram image, the breast calcifications are in ductal patterns. Dr sarah jarvis mbeif a mammogram is abnormal, further tests will be needed. Breast cancer and some noncancerous (benign) breast conditions can appear white on a mammogram. You may notice dimpling or pitting, and the skin on your breast.
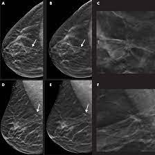
X Ray Mammogram Showing Evidence Of Breast Cancer Stock Image M122 0050 Science Photo Library from media.sciencephoto.com But it's not uncommon that they see something that looks like it might be cancer —a finding that could end up being completely normal, but that needs to be further tested to be sure. What does cancer look like on a mammogram? The tumor cells don't stay within the clear borders of the mass, but instead invade the nearby breast tissue. This type of cancer also changes the appearance of your breasts. This can make it harder for your radiologist to spot signs of breast cancer, since dense tissue and tumors both look white in mammogram images. The look of breast cancer on a mammogram a tumor or lump will appear as a focused white area on the mammogram. A mammogram can show breast changes such as calcifications, masses, or other symptoms that might be cancer. Dr sarah jarvis mbeif a mammogram is abnormal, further tests will be needed.
The rate of breast cancers discovered as dcis is thought to be increasing, but this is partially a testament to the effectiveness of mammographic breast cancer screening programs.ductal carcinoma in situ represents up to 30% of all new cases of breast cancer discovered by breast cancer screening.
Invasive breast cancer can appear as a white patch or mass on a mammogram. The tumor cells don't stay within the clear borders of the mass, but instead invade the nearby breast tissue. You may notice dimpling or pitting, and the skin on your breast. A rash isn't the only visual symptom of inflammatory breast cancer. Regular mammograms are the best tests doctors have to find breast cancer early. In a normal breast, a mammogram shows normal skin dark grey fat and lighter grey breast tissue. According to the american cancer society (acs), the most common sign of breast cancer is a new lump or mass in the breast. How can mammograms be used? Cancers may be seen as masses (like a ball, but usually with an irregular shape), areas of asymmetry that resemble normal tissue, calcifications (white specks), and/or areas of architectural distortion (imagine the puckering caused by pulling a thread in a piece of fabric). In this mammogram image, the breast calcifications are in ductal patterns. Healthy mammograms can still vary in appearance. It is important to bear in mind that most women who are asked to come back after. Any area that does not look like normal tissue is a possible cause for concern.
Invasive breast cancer can appear as a white patch or mass on a mammogram. Often, you might not feel a lump, even if it is there. Regular mammograms are the best tests doctors have to find breast cancer early, sometimes up to three years before it can be felt. The appearance of normal breast tissue on a mammogram varies from person to person, and no two mammograms look the same. Mammograms provide a look inside the breast to help doctors (radiologists) detect breast cancer, often in the early stages when it's most treatable.
Basic Information About Mammograms from aboutcancer.com What does cancer look like on a mammogram? Cancers may be seen as masses (like a ball, but usually with an irregular shape), areas of asymmetry that resemble normal tissue, calcifications (white specks), and/or areas of architectural distortion (imagine the puckering caused by pulling a thread in a piece of fabric). Any area that does not look like normal tissue is a possible cause for concern. A mammogram can show breast changes such as calcifications, masses, or other symptoms that might be cancer. Cancers may be seen as masses (like a ball, but usually with an irregular shape), areas of asymmetry that resemble normal tissue, calcifications (white specks), and/or areas of architectural distortion (imagine the puckering caused by pulling a thread in a piece of fabric). Any area that does not look like normal tissue is a possible cause for concern. But it's not uncommon that they see something that looks like it might be cancer —a finding that could end up being completely normal, but that needs to be further tested to be sure. Regular mammograms are the best tests doctors have to find breast cancer early, sometimes up to three years before it can be felt.
In this mammogram image, the breast calcifications are in ductal patterns.
Ibc symptoms are caused by cancer cells blocking lymph vessels in the skin causing the breast to look inflamed. symptoms include breast swelling, purple or red color of the skin, and dimpling or thickening of the skin of the breast so that it may look and feel like an orange peel. What does cancer look like on a mammogram? Cancers may be seen as masses (like a ball, but usually with an irregular shape), areas of asymmetry that resemble normal tissue, calcifications (white specks), and/or areas of architectural distortion (imagine the puckering caused by pulling a thread in a piece of fabric). Tumors may be benign or cancerous. According to the american cancer society (acs), the most common sign of breast cancer is a new lump or mass in the breast. Suspicious findings include clusters of tiny microcalcifications or a density/mass with irregular or spiculated margins. Any area that does not look like normal tissue is a possible cause for concern. This can make it harder for your radiologist to spot signs of breast cancer, since dense tissue and tumors both look white in mammogram images. Breast cancer and some noncancerous (benign) breast conditions can appear white on a mammogram. This is considered an abnormal mammogram, but not necessarily one that's indicative of cancer. Invasive breast cancer can appear as a white patch or mass on a mammogram. By the time it's diagnosed, it usually has grown into the skin of your breast. What does an abnormal mammogram look like?
Rate of dcis discovery is increasing, due to screening mammograms. How does breast cancer appear like on a mammogram? Cancers may be seen as masses (like a ball, but usually with an irregular shape), areas of asymmetry that resemble normal tissue, calcifications (white specks), and/or areas of architectural distortion (imagine the puckering caused by pulling a thread in a piece of fabric). While it may look like a fuzzy, spotty television screen with different shades of grey to a patient, the ultrasound technician and the radiologist use these images to diagnose masses and tumors. Doctors use a mammogram to look for early signs of breast cancer.
Ai Assisted Radiologists Can Detect More Breast Cancer With Reduced False Positive Recall Imaging Technology News from www.itnonline.com Breast cancer and some noncancerous (benign) breast conditions can appear white on a mammogram. By the time it's diagnosed, it usually has grown into the skin of your breast. The outer edges of these cells look fuzzy or spiky (called spiculated). They will look carefully at the mammogram to interpret the results. The doctor reading your mammogram will be looking for different types of breast changes, such as small white spots called calcifications, larger abnormal areas called masses, and other suspicious areas that could be signs of cancer. The appearance of normal breast tissue on a mammogram varies from person to person, and no two mammograms look the same. Cancers may be seen as masses (like a ball, but usually with an irregular shape), areas of asymmetry that resemble normal tissue, calcifications (white specks), and/or areas of architectural distortion (imagine the puckering caused by pulling a thread in a piece of fabric). According to the american cancer society (acs), the most common sign of breast cancer is a new lump or mass in the breast.
A tumor that is benign, it is not a health problem and it may not grow or change shape.
This is considered an abnormal mammogram, but not necessarily one that's indicative of cancer. The tumor cells don't stay within the clear borders of the mass, but instead invade the nearby breast tissue. The appearance of normal breast tissue on a mammogram varies from person to person, and no two mammograms look the same. Dr sarah jarvis mbeif a mammogram is abnormal, further tests will be needed. The doctor reading your mammogram will be looking for different types of breast changes, such as small white spots called calcifications, larger abnormal areas called masses, and other suspicious areas that could be signs of cancer. Regular mammograms are the best tests doctors have to find breast cancer early, sometimes up to three years before it can be felt. Mammograms will often detect areas that are more dense than normal breast tissue or that have little flecks of calcium within milk ducts. What does breast cancer look like on a mammogram? What does breast cancer look like on a mammogram? You may notice dimpling or pitting, and the skin on your breast. This can make it harder for your radiologist to spot signs of breast cancer, since dense tissue and tumors both look white in mammogram images. Any area that does not look like normal tissue is a possible cause for concern. Any area that does not look like normal tissue is a possible cause for concern.
Make A Homemade Birthday Card / Top 10 DIY Birthday Cards Ideas That Are Easy To Make / Make someone's day extra special with a personalized, printable birthday card you can send out or share online. . These are our top choices, so make sure to put them to good use! Handmade birthday cards are a perfect way to make anyone feel special on their birthday! Let your loved ones know how much you appreciate them by making your own printable cards. Sub out the imagery with your photos. Try out various photo filters as well as experiment with cropping and resizing images. Use the yellow paint to add a 'flame' at the top of each candle. Once dry, take the black pen and draw birthday candles onto the top layer. Special birthday card for friends. While there are many social media, shout out platforms now, but no matter how many digital photo collages and sensational captions you can write, nothing can beat diy birthday cards!we have rounded up below this fun to ma...
Make Your Own Printable Card Free / Make Your Own Playing Cards Www Timvandevall Com Pg 1 : Use this button to review the cards online. . Import from facebook & instagram. Get printing in minutes by following the steps below: Free printable business cards use our online creator to make your own full color, full bleed printable business cards. Customize other features of your card. Click on the pdf button to save and then view or download a printable version of your cards. Spend as little or as much time as you want to make the graphic your own. Add a personalized message and images. A party is the perfect way to express your friendship or affection for the honoree. Browse the cards in the section and select the one/s you like. In just a few clicks, you can change the text with your own message, try out different colors and fonts, and even upload your own photos. Free Printable And Vir...
4k ultra hd bitcoin wallpapers. Bitcoin on black with this cryptocurrency wallpaper. Highest rated) finding wallpapers view all subcategories. Hd wallpapers and background images The bitcoin web with this cryptocurrency wallpaper. Cryptocurrency Wallpaper Hd Posted By Christopher Johnson from cutewallpaper.org 113 mobile walls 2 images 32 avatars 8 gifs. The bitcoin web with this cryptocurrency wallpaper. Today, bitcoin is not just magic internet money, it has penetrated wallstreet and attracted institutional investors, bankers, and other financial giants. You can also upload and share your favorite cryptocurrency wallpapers. 4k ultra hd bitcoin wallpapers. 112 mobiel achtergronden 2 afbeeldingen 32 avatars 8 gifs. Tons of awesome cryptocurrency wallpapers to download for free. Highest rated) finding wallpapers view all subcategories. ...
Komentar
Posting Komentar